Врачи нашли во рту у ребенка 526 лишних зубов

saveethadental.com, фото - Новости Zakon.kz от 01.08.2019 17:51 saveethadental.com
Причина такой аномалии не ясна.

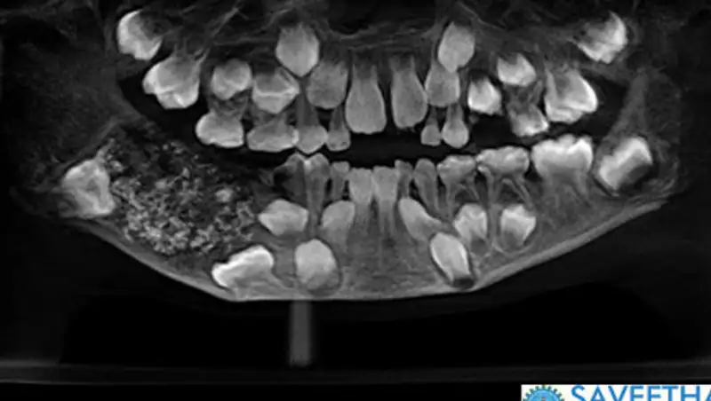
В Индии врачи удалили семилетнему ребенку 526 лишних зубов, сообщает РИА новости со ссылкой на Times of India.

Мальчик жаловался на сильную боль в нижней челюсти. Компьютерная томография и рентген показали, что во рту у ребенка опухоль с огромным количеством мелких рудиментарных зубов. Врачи настояли на немедленной операции и за несколько часов удалили нарост. В настоящее время ребенок чувствует себя хорошо.

Причина такой аномалии не ясна. Врачи допускают, что это может быть генетическое заболевание, однако не исключают и версию воздействия излучения от сотовой вышки. В последний раз индийские медики сталкивались с похожим случаем в 2014 году, тогда пациенту удалили 232 зуба.

Поделитесь новостью
Поделитесь новостью:
Следите за новостями zakon.kz в:
Если вы видите данное сообщение, значит возникли проблемы с работой системы комментариев. Возможно у вас отключен JavaScript
Сообщите об ошибке на странице
Ошибка в тексте: