Хирург сравнила легкие курильщика с легкими после COVID

Pixabay, фото - Новости Zakon.kz от 15.01.2021 18:31 Pixabay
Люди уделяют слишком много внимания выживанию людей, позабыв о долгосрочных последствиях

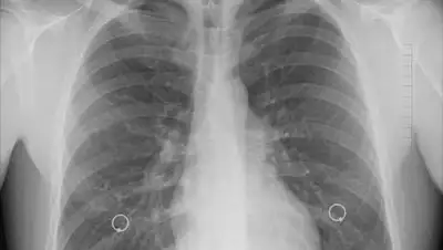
Доцент Центра медицинских наук Техасского технического университета доктор Бриттани Бэнкхед-Кендалл поделилась рентгеновскими снимками легких курильщика и легких пациента с коронавирусом, передает zakon.kz со ссылкой на Lad Bible.

Доктор вылечила тысячи пациентов от вируса за последний год. Она хочет предупредить людей о долгосрочной опасности заболевания и важности серьезного отношения к нему.

По словам хирурга, легкие курильщика довольно пятнистые и "туманные". Пациент с Covid имеет полностью "белые" легкие. Это связано с интенсивным рубцеванием, вызванным коронавирусом и недостатком воздуха.

Я не знаю, кому нужно это знать, но пост-ковидные легкие выглядят хуже, чем легкие любого курильщика, которые мы когда-либо видели. Они рушатся и тромбуются. Одышка продолжается и продолжается, - написала она в Twitter.

Она отметила, что люди уделяют слишком много внимания выживанию людей, позабыв о долгосрочных последствиях.

Все беспокоятся о смертности, это ужасно. Но все выжившие пациенты с положительным результатом - это будет проблемой, - сказала она местной новостной станции CBS DWF.

Covid-19 часто вызывает у пациента осложнения, такие как пневмония. В этом случае легкие воспаляются и наполняются жидкостью, ограничивая количество поступаемого кислорода. Было также обнаружено, что вирус повреждает эпителиальные клетки.

Хирург опубликовала три рентгеновских снимка:

Легкие выздоровевшего ковид-пациента

Легкие курильщика

Легкие здорового человека

По словам доктора, существует большая вероятность того, что пациенты, выздорваливающие после тяжелого течения болезни, могут столкнуться с осложнениями в будущем.

Если вы не чувствуете проблем сейчас, не означает отсутствие осложнений позже, - заключила она.

Поделитесь новостью
Поделитесь новостью:
Следите за новостями zakon.kz в:
Если вы видите данное сообщение, значит возникли проблемы с работой системы комментариев. Возможно у вас отключен JavaScript
Сообщите об ошибке на странице
Ошибка в тексте: