Опубликована первая фотография «омикрон-штамма»

лаборатория, вирус, микроскоп, фото - Новости Zakon.kz от 08.12.2021 11:13 Фото: Twitter/hkumed
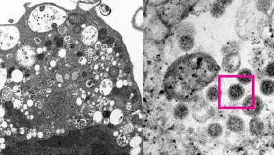
Ученые университета Гонконга опубликовали электронную микрофотографию «омикрон-штамма», передает Zakon.kz.

Изображение варианта коронавируса «омикрон-штамма» получено при помощи электронного микроскопа, сообщается в заявлении исследователей, поступившем в распоряжение РИА Новости.

Ученые медицинского факультета, включая специалистов в области патологии и вирусологии, смогли сделать электронную микрофотографию клетки (Vero E6) почки обезьяны после заражения вариантом SARS-CoV-2 «омикрон». Университет обнародовал изображение при малом и большом увеличении.

Китайские ученые пояснили, что при малом увеличении на микрофотографии видно повреждение клеток с набухшими везикулами, содержащими маленькие черные вирусные частицы. Микрофотография с большим увеличением показывает агрегаты вирусных частиц с шипами в форме короны на их поверхности.

Поделитесь новостью
Поделитесь новостью:
Следите за новостями zakon.kz в:
Если вы видите данное сообщение, значит возникли проблемы с работой системы комментариев. Возможно у вас отключен JavaScript
Сообщите об ошибке на странице
Ошибка в тексте: