В Британии двое пациентов умерли после пересадки зараженных паразитами почек

Zakon.kz, фото - Новости Zakon.kz от 19.11.2014 21:18 Zakon.kz
В Великобритании ведется расследование скандального инцидента, связанного с пересадкой органов. 
Двое мужчин скончались, получив зараженные паразитическими червями почки от 39-летнего бездомного донора-алкоголика, сообщает Newsru.com со ссылкой на The Mirror.

Как выяснилось, до того, как в ноябре прошлого года 67-летнему Роберту Стюарта из Кардиффа и 42-летнему Даррену Хьюзу из Бридженда в госпитале при университете Уэльса были пересажены почки алкоголика, от них отказались сразу шесть больниц, которые сочли их непригодными для трансплантации. Как стало известно, легкие, печень и сердце донора, умершего от менингита, также были отвергнуты медцентрами, которым предложили эти органы для пересадки.

В декабре прошлого года, через три недели после пересадки почек, пациенты умерли от менингоэнцефалита - воспаления мозга, вызванного нематодами вида Halicephalobus gingivalis. Хотя врачам больницы было известно, что донор умер от менингита, они, естественно, понятия не имели, что его вызвали паразиты. Медики также знали, что у донора был цирроз печени от злоупотребления алкоголем, установило следствие. Однако врачи предпочли умолчать об этих фактах, когда просили пациентов подписать согласие на операцию.

На слушаниях отец Даррена Хьюза заявил, что возражал бы против операции, если бы ему сообщили, что почка его сыну будет пересажена от алкоголика. По словам мужчины, он думал, что донор был молодым человеком, погибшим в автокатастрофе, и ничего не знал о его жизни.

Представители больницы заявили, что поставили в известность семью Хьюза о смерти донора от менингита, передает Sky News. При этом медики отмечали, что риск передачи инфекции крайне мал, и даже если это произойдет, ее можно будет вылечить антибиотиками.

Однако отец Хьюза заявил, что это неправда - никто семье об этом не сообщал. Вдова другого умершего пациента - Роберта Стюарта - также заявила, что ее мужу и семье ничего не рассказали о биографии и заболеваниях донора.

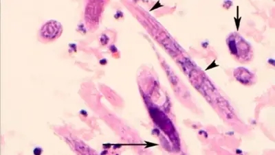
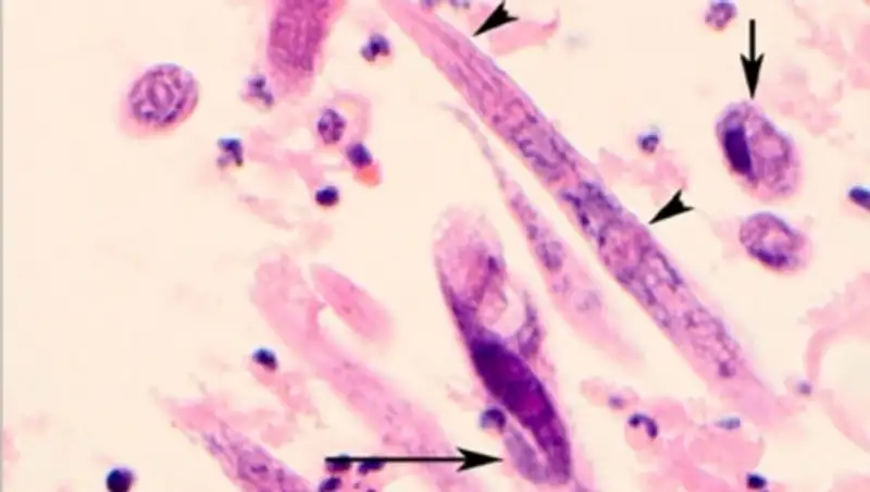
Нематоды вида Halicephalobus gingivalis живут в почве, навозе и компосте. Они редко паразитируют в организме животных - в основном ими поражаются лошади. До конца непонятен механизм заражения: предположительно, в организм живого существа попадают яйца этих первичнополостных червей через рот или заражение происходит через поврежденную кожу. Черви поражают почки и мозг. В мире описаны всего пять случаев заражения этими паразитами человека, и все они закончились смертью. Инфекция была впервые выявлена в 1954 году. Следствие по делу продолжается.
Поделитесь новостью
Поделитесь новостью:
Следите за новостями zakon.kz в:
Если вы видите данное сообщение, значит возникли проблемы с работой системы комментариев. Возможно у вас отключен JavaScript
Сообщите об ошибке на странице
Ошибка в тексте: