Любителя суши заполонили ленточные черви

Zakon.kz, фото - Новости Zakon.kz от 26.09.2014 21:51 Zakon.kz
Мужчина отведал любимые суши и сашими, в состав которых входит сырая рыба, после чего неназванный житель китайской провинции Гуандун на востоке страны почувствовал себя крайне скверно. 
Его тело начало чесаться, а в животе не проходили ноющие боли. Пройдя медицинское обследование, врачи выяснили, что тело пациента буквально захватили черви.

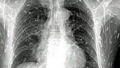
Шокирующие рентгеновские снимки организма мужчины, сделанные врачами одной из местных клиник, быстро разлетелись по Сети. На них видно, что буквально все тело любителя японских деликатесов напичкано жуткими паразитами.

Неизвестно, сколько времени прошло между тем, как китаец поел некачественные суши и обратился к врачу, поэтому остается загадкой, за какое время черви расплодились до такого ужасающего количества. Также не сообщается, насколько серьезными оказались последствия заражения для мужчины, и удалось ли ему излечиться, пишет Mirror.

Врачи уверены, что сырое мясо, которое китаец попробовал в одном из японских ресторанов, было заражено личинками ленточного червя. По словам китайских медиков, человек может не замечать наличие в своем организме непрошенного "жильца" годами, пока тот не начнет откладывать яйца в его внутренних органах. Некоторые ленточные черви, поселившиеся в организме человека, достигают 15 метров в длину. Поэтому медики предостерегают своих пациентов от употребления в пищу сырого мяса.

Стоит отметить, что пока одни пытаются вылечиться от паразитов, другие наоборот ими питаются. Так, например, участники космической программы Китая в ходе эксперимента три месяца питались червями. Такой подход китайских ученых вызвал критику в западных странах. Исследование было проведено, чтобы определить, может ли богатая белками диета использоваться в длительных космических путешествиях. Команда испытуемых состояла из двух женщин и одного мужчины из Пекинского университета авиации и космонавтики.

Ученые откармливали червей и других насекомых растениями, выращенными внутри лаборатории. При этом, чтобы черви были более аппетитными, исследователи применяли различные соусы и специи. По словам Ху Давея, одного из ученых, проводивших эксперимент, испытуемые на "диете из червей" выглядели "здоровыми и счастливыми". "Разумеется, им потребовалось какое-то время, чтобы привыкнуть к новой пище. Ни один из испытуемых до тех пор червей в рот не брал. Внешний вид червей вызывает отвращение, однако на самом деле это один из самых здоровых и чистых источников питания", – пояснил Ху Давей.

Однако такой подход китайских ученых вызвал критику в западных странах. Там заявили, что подобная еда будет "понижать моральный статус астронавтов". Идея разведения в космосе мучных червей для последующего использования в пищу была высказана еще в 2009 году, однако ученые в западных странах опасались, что подобная диета вызовет отвращение у астронавтов. Результаты эксперимента могут иметь большое значение для будущего китайской космической программы. Напомним, что Китай собирается к 2023 году запустить на земную орбиту собственную обитаемую космическую станцию.
Поделитесь новостью
Поделитесь новостью:
Следите за новостями zakon.kz в:
Если вы видите данное сообщение, значит возникли проблемы с работой системы комментариев. Возможно у вас отключен JavaScript
Сообщите об ошибке на странице
Ошибка в тексте: