Пулю вытащили из грудной клетки подростка в Мангистау

мангистау, подросток, пуля, грудная клетка, операция, фото - Новости Zakon.kz от 23.02.2022 12:10 Фото: Facebook/azamat.sarsenbaev
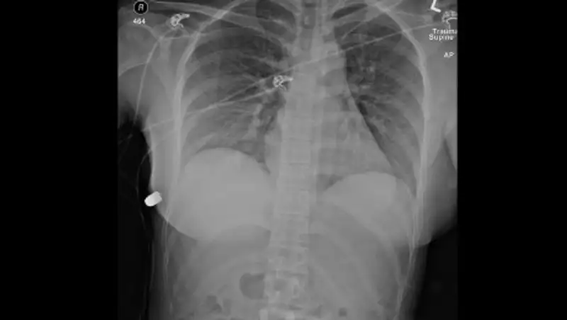
В Мангистау из грудной клетки 16-летнего подростка вытащили пулю от пневматического оружия, передает Zakon.kz.

Об этом в соцсетях сообщил известный казахстанский блогер Азамат Сарсенбаев.

Он сообщил, что 19 февраля в приемный покой областной детской больницы Мангистау был доставлен 16-летний подросток с пулевым ранением в грудную клетку. По словам сопровождающих, подросток по неосторожности получил ранение в одном из аттракционов (тир), находящемся в парке «Акбота».

После полного обследования 22 февраля врачи детской больницы провели сложнейшую операцию по извлечению инородного предмета из грудной клетки подростка.Азамат Сарсенбаев

По словам врачей, операция длилась примерно 40 минут.

Благодаря современному оборудованию эндоскопии в стенах детской больницы им (врачам. - Прим. ред.) удалось провести сложную операцию без существенных проблем. В противном случае, сетуют врачи, им бы пришлось вскрывать грудную клетку для того, чтобы вытащить инородное тело. В настоящий момент подросток чувствует себя хорошо и готовится к выписке.Азамат Сарсенбаев

Редакция Zakon.kz обратилась за комментарием в областной департамент полиции.

По данному факту в полицию никто не обратился. По словам родителей, они ни к кому жалоб и заявлений ни имеют.Пресс-служба ДП Мангистауской области
Поделитесь новостью
Поделитесь новостью:
Следите за новостями zakon.kz в:
Если вы видите данное сообщение, значит возникли проблемы с работой системы комментариев. Возможно у вас отключен JavaScript
Сообщите об ошибке на странице
Ошибка в тексте: