Яблоко чуть не убило пенсионера из Конаева
Фото: pixabay
Как раз таки про этот случай можно сказать "не в то горло попало". Врачи извлекли кусок яблока из бронха жителя Конаева, который едва не задохнулся из-за него, сообщает Zakon.kz.
В Алматинской многопрофильной клинической больнице рассказали, что их врач-эндоскопист Данияр Алмагамбетов санавиацией вылетел в центральную районную больницу Конаева для оказания экстренной помощи 67-летнему пенсионеру.
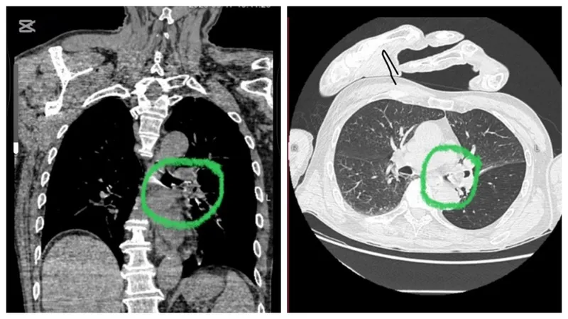
"У пациента диагностировано инородное тело в левом главном бронхе – кусочек яблока размером 2х1,5 см, полностью перекрывавший дыхательные пути. Ситуацию значительно осложняли сопутствующие заболевания: последствия перенесенного острого нарушения мозгового кровообращения в 1995 году, дизартрия, левосторонний гемипарез, а также артериальная гипертензия III степени".Алматинская многопрофильная клиническая больница

Фото: Алматинская многопрофильная клиническая больница
В операционной специалистом проведено удаление инородного тела с помощью аппарата видеобронхоскопа под интубационным наркозом.
"Такие случаи требуют неотложного вмешательства и высокого уровня подготовки специалистов. Слаженная работа системы санитарной авиации и опыт врачей позволяют оперативно оказывать экстренную помощь пациентам даже в самых сложных ситуациях". Данияр Алмагамбетов

Фото: Алматинская многопрофильная клиническая больница
Благодаря своевременным и профессиональным действиям врача дыхательные пути пациента были полностью восстановлены, что позволило избежать тяжелых осложнений и угрозы жизни.
В середине июля в Восточно-Казахстанской области врачи спасали малыша, который проглотил болт.
Поделитесь новостью
Читайте также
Если вы видите данное сообщение, значит возникли проблемы с работой системы комментариев. Возможно у вас отключен JavaScript